
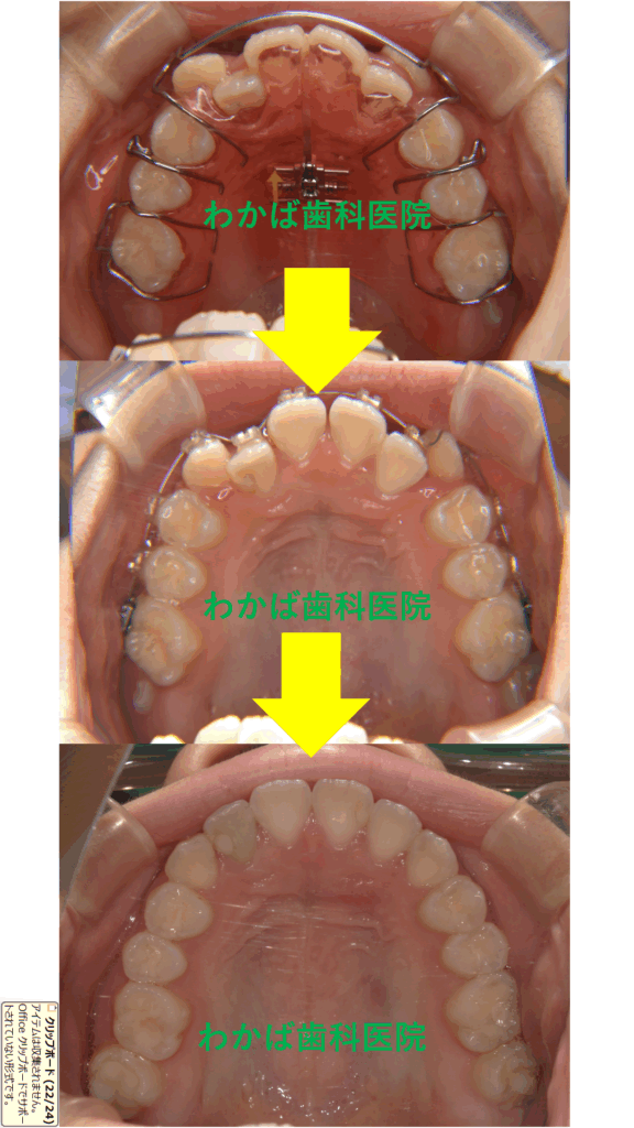
高校1年生の症例です🔍
小学5年生から矯正をスタートしました❣️


上下とも拡大床1個+下サンド1個+上ブラケット装着+リテーナーを使用しました。
・
*料金*
診査料:¥33,000
床装置1床目:¥77,000×2(上下)
床装着2床目:¥44,000(下のみ)
ブラケット装着:¥112,420(上のみ)
リテーナー装着:¥8,800(上のみ)
月1回管理料:¥2,200
ブラケット装着時 ¥1,100(上)
ゴム交換時 ¥1,100(上)
※全て税込み表記です。
・
*床矯正のメリット・デメリット*
メリットは・・・・
取り外しの装置になります。
口腔内の清掃がしやすいです。
外したいときに外すことができます。
デメリットは・・・・
本人と保護者の協力が必要です。
装置装着時、飲食が出来ません。









