
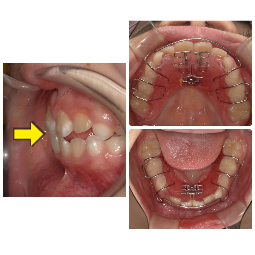
小学校3年生の4月頃から床矯正スタート▶️
黄色矢印が示しているのは切端咬合です。
本来の噛み合わせは上の歯がもう少し前に出るのが
のぞましいです😌🩷なので
装置にスプリングワイヤーがついています。

1つ目の拡大装置で前歯は正しく前に出て、
あとは整える矯正装置(サンド)とお口のトレーニングで
乳歯が抜けるのを待ちます。
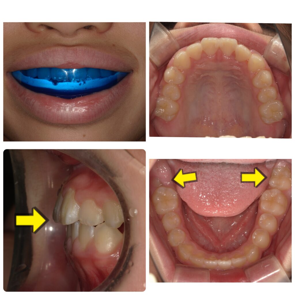
小学校3年生の10月頃スタート▶️

小学校5年生の7月頃からプレオルソがスタート▶️
あとは12歳臼歯と呼ばれる歯が
生えるのを待つのみです。。
そのあいだトレーニングチューブを噛んだり
MFTトレーニングを行ったり
あいうべ体操をしっかりお家で行ってもらいます!
*料金*
診査料:¥33,000
床装置1床目:¥77,000×2(上下)
床装置2床目:¥44,000×2(上下)
プレオルソ:¥44.000
月1回管理料:¥2,200
※全て税込み表記です。
*メリット・デメリット*
メリットは・・・・
取り外しの装置になります。
口腔内の清掃がしやすいです。
外したいときに外すことができます。
デメリットは・・・・
本人と保護者の協力が必要です。
装置装着時、飲食が出来ません。





